This post is sponsored by Orthodontics Australia
Before having children I knew NOTHING about orthodontics. It was something other kids had- they would get braces, complain about having them tightened and we would all braid our hair using their tiny elastics. Oh and there was that urban myth about two people with braces kissing who got locked together…
Then I had a child who needed orthodontic treatment. When she was young I saw all these quite young children getting braces and I really didn’t understand. I figured the Orthodontic profession was starting them earlier so they made more money. Boy was I wrong! It turns out there is so much more to it. When you start younger the jaw is still soft and developing, which gives the Orthodontist a lot more wiggle room to shape the jaw and move the teeth. In this early intervention period Orthodontists have a range of treatments available, including temporary plates (also known as retainers), permanent plates (a small piece of wire glued to the teeth to keep the position), expanders and braces on some teeth.
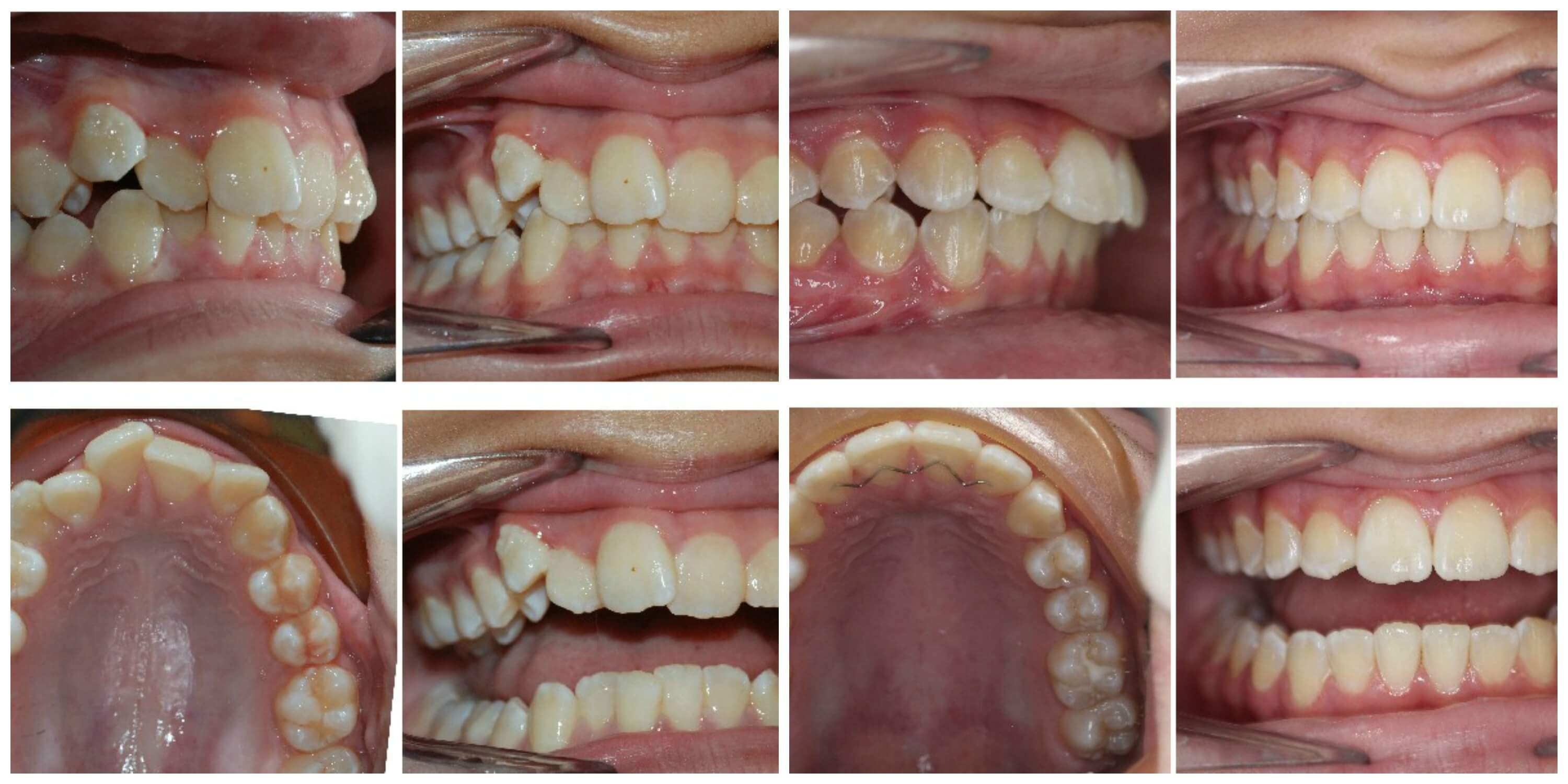
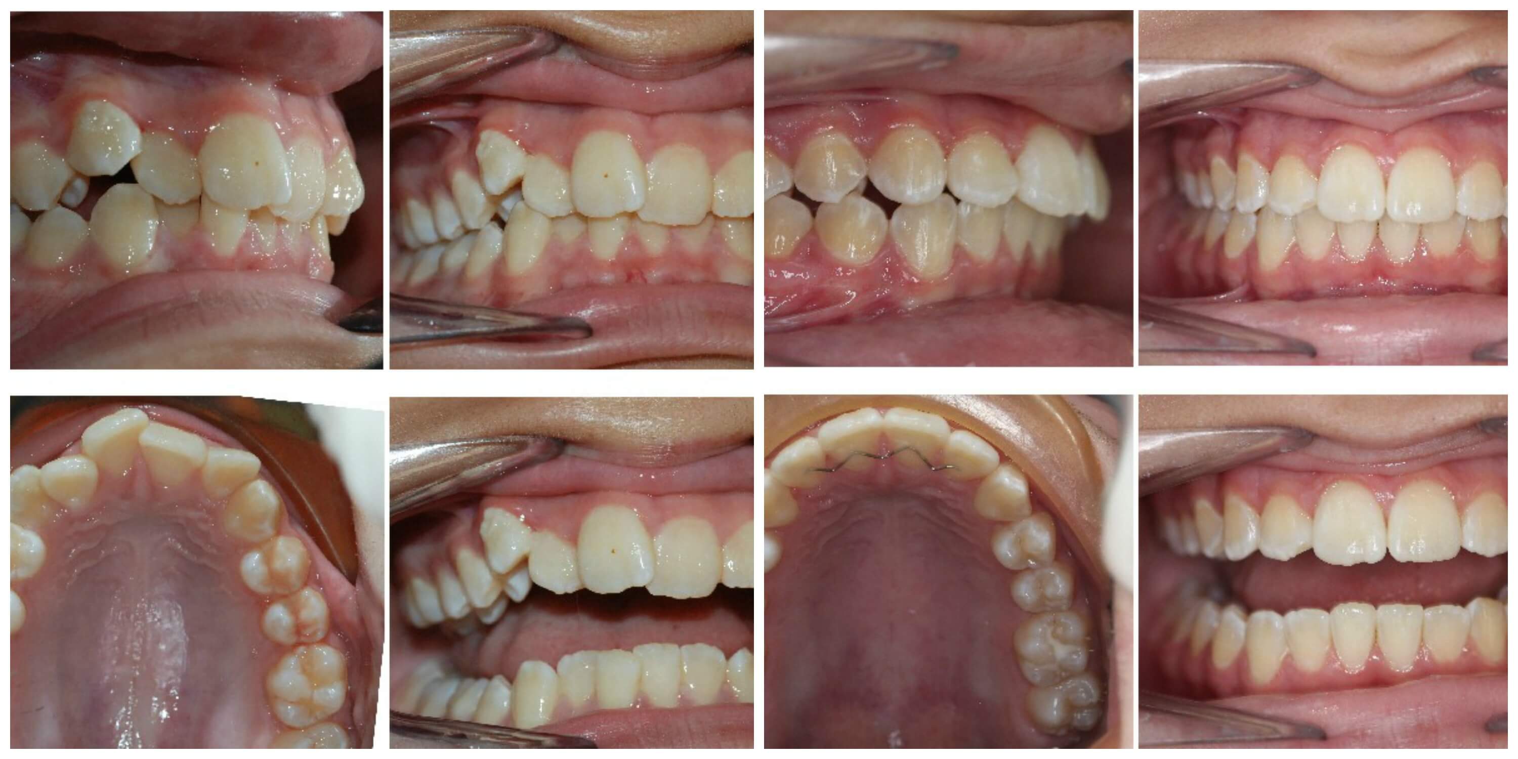
When my daughter was 10 she was referred to the Orthodontist because her jaw was small and her teeth were overlapping. Several of them didn’t fit in her mouth. I was concerned that she would need them removed.
The Orthodontist recommended an expander- it sat on the roof of her mouth and every day we would use a little crank to turn it another fraction. All this turning slowly widened her jaw and let her teeth move into place.

Once she got into high school she was given braces to finish correcting her teeth, but she didn’t need any teeth removed! Without this early intervention she would have needed four teeth removed before the braces.
So how do you know if your child needs to see the Orthodontist?
Here’s a handy checklist to help you decide if your child might need early orthodontic intervention.

After all- we wear our smile every day!
To find out more information visit the Orthodontics Australia website www.aso.org.au






Portland Braces
Thanks for the information. sounds so great and helpful. Kudos!